Сервал снова может прыгать
Новосибирские ветеринары спасли экзотического представителя семейства кошачьих, который сломал бедренную кость
В дикой природе сервала, получившего такую травму, ждала бы неминуемая мучительная смерть либо от голода, либо от зубов крупного хищника, либо от сепсиса.
К счастью, детеныш сервала оказался обитателем Новосибирского зоопарка и местные специалисты сразу заметили, что пятнистый малыш захромал. Сервала привезли в клинику, где ушастый котенок немедленно очаровал весь персонал.
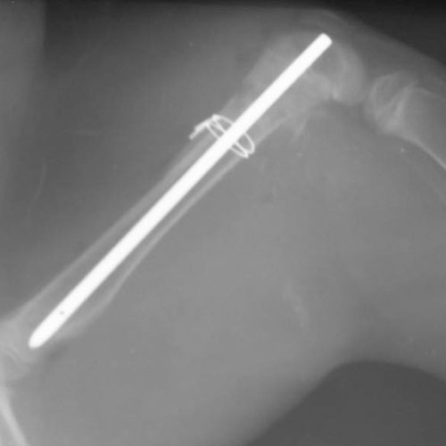
Как рассказал заведующий хирургическим отделением Евгений Козлов, рентгенограммы показали, что дела обстоят не столь радужно — у маленького сервала перелом бедренной кости.
— Требовалась довольно сложная операция металлоостеосинтеза, — поясняет доктор. — Хирургическая бригада принялась за работу, не откладывая дела в долгий ящик. Мы провели предоперационное обследование экзотического котенка, а ассистенты обработали операционное поле. Анестезиологи рассчитали дозу анестетиков, погрузили усатого пациента в наркоз, и за дело взялись хирурги.
Сервалу провели репозицию и стабилизацию костных отломков при помощи интрамедуллярного стержня. Затем малыша отправили обратно в родной вольер под зоркое наблюдение ветеринарных специалистов зоологического парка. А на днях состоялось повторное обследование хирурга.
— Котенок уже находится в открытом вольере, опороспособность и функция конечности восстановлена на сто процентов, — говорит Евгений Козлов. — Быстро отросшая шерсть полностью скрыла следы травмы и нашего вмешательства. Маленький сервал окреп и шустро бегает по своей территории. Сторонний посетитель ни за что не догадается, что какая-то из четырех пятнистых лап прячет в себе «железную штуковину».
Добавим, что среди пациентов доктора Козлова, помимо обычных домашних питомцев, были самка ягуара, винторогий козел, повредивший связки, толстый лори с больными зубами, полосатый скунс, лилигрица Кияра, самка львиного тамарина, старый мандрил, которому вернули зрение, шарнирная черепаха и многие другие обитатели зоопарка.
СПРАВКА
Сервал — хищник семейства кошачьих. Распространен в Африке к югу от Сахары. Обитает в степях и полупустынях, кустарниковых зарослях около воды, в лесах. Логово устраивает в старой норе дикобраза или среди густой травы. Питается в основном грызунами, а также охотится на антилоп и птиц. Сервал благодаря длинным и стройным ногам стремительно бегает на короткие дистанции, а в высокой траве несется большими прыжками, быстро настигая жертву. При необходимости делает вертикальные прыжки на высоту до трех метров от земли. Легко приручается. В Африке сервалов нередко используют для охоты. Внесен в Международную Красную книгу. В Новосибирском зоопарке содержится с 1980 года. Регулярно размножается с 1984 года. За этот период родилось 90 малышей. 14 сервалят выкормлены домашней кошкой. А в 1988 году трех детенышей выкармливала камышовая кошка.
АКТУАЛЬНО
EUR 89.6256 